Modelo de inteligência artificial analisa mamografias para avaliar risco do desenvolvimento da doença. Técnica pode ajudar a identificar casos não detectados pelo exame tradicional.
/s2.glbimg.com/JInmNEuQ1XuvpzCoVX926PPggkk%3D/200x0/filters%3Aquality%2870%29/i.s3.glbimg.com/v1/AUTH_59edd422c0c84a879bd37670ae4f538a/internal_photos/bs/2016/I/7/WLv6J7Tr2soveXjEP66g/dw-150x150.jpg)
Por Deutsche Welle
Todos os anos, cerca de 2,3 milhões de casos de câncer de mama são diagnosticados em todo o mundo, e aproximadamente 670 mil mulheres morrem em decorrência da doença.
“O câncer de mama é a principal causa de morte por câncer entre as mulheres, mesmo com a triagem por mamografia”, afirma a médica Christiane Kuhl, da Universidade Técnica da Renânia do Norte-Vestfália em Aachen (RWTH Aachen).
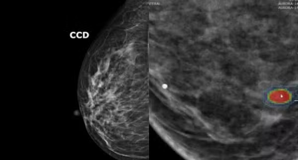
O motivo é que muitos casos de câncer de mama não são detectamos por meio da mamografia, pelo menos não em estágio inicial. Kuhl explica que em particular tumores agressivos e de crescimento rápido muitas vezes não são visíveis nas mamografias. São justamente esses tumores que matam muitas mulheres.
Agora um novo algoritmo promete reorientar a triagem: um modelo de inteligência artificial (IA) consegue avaliar com elevada precisão, simplesmente analisando dados de imagens de mamografia, o risco de uma pessoa desenvolver câncer de mama nos próximos cinco anos.
Num estudo, mulheres identificadas pelo algoritmo como tendo alto risco de desenvolver câncer de mama de fato apresentaram uma probabilidade significativamente maior de desenvolver a doença do que mulheres identificadas pela IA como tendo “risco normal”.
“Essas mulheres desenvolveram câncer de mama quatro vezes mais frequentemente do que aquelas com baixa pontuação na IA”, diz Kuhl, que é a autora principal do estudo. “Com a IA que desenvolvemos, podemos prever com muito mais precisão que uma mulher desenvolverá câncer de mama nos próximos cinco anos – com base em mamografias que não apresentam sinais da doença.”

Rastreamento individualizado
Em geral, uma mamografia de rastreamento de câncer de mama é recomendada de forma sistemática para mulheres de 50 a 74 anos, a cada dois anos. No entanto, o risco individual de desenvolver a doença – e, portanto, a necessidade de uma detecção precoce eficaz – varia consideravelmente de uma mulher para a outra.
Por isso, Kuhl defende o rastreamento individualizado do câncer de mama. Afinal, a precisão da mamografia também varia significativamente de mulher para mulher: quanto mais denso o tecido mamário, maior o risco de desenvolver a doença – e pior a identificação pela mamografia. Muitas mulheres não sabem disso, conta a médica.
Médicos recomendam que mulheres com densidade mamária extremamente alta façam ressonância magnética (RM) para detecção precoce, um exame que ajuda a identificar o câncer de mama em estágio inicial de forma confiável.Embora a RM seja muito confiável, seu custo é muitas vezes maior do que o da mamografia ou da ultrassonografia, que são menos confiáveis.
IA pode decidir se RM é necessária
Para identificar quais mulheres precisam de uma RM para detecção precoce, o Consórcio Clairity (uma cooperação internacional de 46 instituições de pesquisa nos EUA, Canadá, América do Sul e Alemanha) desenvolveu o sistema de inteligência artificial Clairity Breast, que foi treinado com centenas de milhares de mamografias das Américas e da Europa.
Ao contrário dos modelos de risco tradicionais, o algoritmo não requer informações sobre histórico familiar, genética ou estilo de vida. Ele calcula a probabilidade de câncer de mama exclusivamente a partir da mamografia e categoriza as mulheres em grupos de risco com base em limiares definidos.
A IA reconhece não apenas a quantidade de tecido glandular, mas também sua textura, o que é outro parâmetro para o risco de câncer de mama. “Apenas cerca de 10% das mulheres têm esse tecido glandular extremamente denso. A grande maioria das que desenvolvem câncer de mama e recebem um diagnóstico tardio têm tecido menos denso”, afirma Kuhl.
O avanço crucial, em sua opinião, é que “a IA pode decidir em segundos se uma mulher precisa ou não de uma ressonância magnética para detecção precoce”.
Estudos mostram que, em países onde a cobertura mamográfica atingiu 70%, houve uma queda de cerca de 35% na mortalidade por câncer de mama. — Foto: Adobe Stock
Uma outra abordagem
Na maioria dos países, o rastreamento sistemático do câncer de mama começa aos 50 anos, porque o risco aumenta significativamente com a idade e os benefícios da mamografia generalizada são estatisticamente comprovados a partir dessa idade.
Embora as mulheres mais jovens tenham menos probabilidade de desenvolver câncer de mama, elas têm maior probabilidade de desenvolver tumores agressivos se vierem a ter a doença.
“Na verdade, especialmente as mulheres mais jovens se beneficiariam da detecção precoce – desde que ela funcione”, afirma Kuhl. Pois justamente para mulheres mais jovens a mamografia costuma ser problemática: “Mulheres jovens geralmente têm tecido mamário denso – e isso torna a detecção precoce por mamografia especialmente difícil”.
Porém, Kuhl diz que simplesmente reduzir a idade de rastreamento não é muito eficaz. Em vez disso, ela defende uma abordagem em duas etapas. “Primeiro, mamografia para detecção precoce; em seguida, uma análise por IA deve ser realizada para determinar o risco de desenvolvimento da doença nos próximos cinco anos.”
Se o algoritmo indicar um risco particularmente alto, uma ressonância magnética deve ser oferecida, e a mamografia deixa de ser necessária para essas mulheres.
Autor: Alexander Freund
Foto: Adobe Stock








